Cancer Cells in Culture

Both normal cells and cancer cells can be cultured in vitro in the laboratory. However, they behave quite differently.

Normal cells pass through a limited number of cell divisions (50 is about the limit) before they decline in vigor and die. This is probably caused by their inability to synthesize telomerase.

Cancer cells may be immortal; that is, proliferate indefinitely in culture. Example: HeLa cells are cultured in laboratories around the world. They are all descended from cells removed from a cancer (of the cervix) of a woman who died of her disease almost a half century ago. Cancer cells in culture produce telomerase.

Normal cells: when placed on a tissue culture dish, they proliferate until the surface of the dish is covered by a single layer of cells just touching each other. Then mitosis ceases. This phenomenon is called contact inhibition.

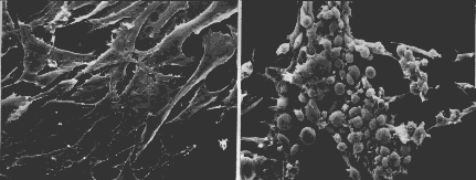
Cancer cells show no contact inhibition. Once the surface of the dish is covered, the cells continue to divide, piling up into mounds.

The photographs (courtesy of G. Steven Martin) show mouse fibroblasts (connective tissue cells) growing in culture. The cells on the left show contact inhibition. Those on the right do not. The cells on the right are said to be transformed. These cells (called 3T3 cells) were not derived from a mouse cancer but were produced by laboratory treatment of normal cells. Radiation, certain chemicals, and certain viruses are capable of transforming cells. Although transformed cells are not derived from cancers, they can often develop into malignant tumors when injected into an appropriate test animal.

Normal cells are exceedingly fussy about the nutrients that must be supplied to them in their tissue culture medium.

Cancer cells (and transformed cells) can usually grow on much simpler culture medium.

Normal cells ordinarily have the normal set of chromosomes of the species; that is, have a normal karyotype.

Cancer cells almost always have an abnormal karyotype with

Links to three examples of cancers associated with translocations.

Burkitt's lymphoma
B-cell leukemia
Chronic myelogenous leukemia

Welcome&Next Search

21 May 1999