The Human Central Nervous System
The central nervous system is made up of the
The spinal cord
- conducts sensory information from the peripheral nervous system (both somatic and autonomic) to the brain
- conducts motor information from the brain to our various effectors
- serves as a minor reflex center
The brain
- receives sensory input from the spinal cord as well as from its own nerves (e.g., olfactory and optic nerves)
- devotes most of its volume (and computational power) to processing its various sensory inputs and initiating appropriate - and coordinated - motor outputs.
White Matter vs. Gray Matter
Both the spinal cord and the brain consist of
- white matter = bundles of myelinated axons
- gray matter = masses of the cell bodies and dendrites - each covered with synapses.
In the spinal cord, the white matter is at the surface, the gray matter inside.
In the brain of mammals, this pattern is reversed. However, the brains of "lower" vertebrates like fishes and amphibians have their white matter on the outside of their brain as well as their spinal cord.
Both the spinal cord and brain are covered in three continuous sheets of connective tissue, the meninges. From outside in, these are the
- dura mater - pressed against the bony surface of the interior of the vertebrae and the cranium
- the arachnoid
- the pia mater
The region between the arachnoid and pia mater is filled with cerebrospinal fluid (CSF).
The Extracellular Fluid (ECF) of the Central Nervous System
The cells of the central nervous system are bathed in a fluid that differs from that serving as the ECF of the cells in the rest of the body.
- The fluid that leaves the capillaries in the brain contains far less protein than "normal" because of the blood-brain barrier, a system of tight junctions between the endothelial cells of the capillaries. This barrier creates problems in medicine as it prevents many therapeutic drugs from reaching the brain.
- cerebrospinal fluid (CSF), a secretion of the choroid plexus. CSF flows uninterrupted throughout the central nervous system
- through the central cerebrospinal canal of the spinal cord and
- through an interconnected system of four ventricles in the brain.
CSF returns to the blood through veins draining the brain.
31 pairs of spinal nerves arise along the spinal cord. These are "mixed" nerves because each contain both sensory and motor axons. However, within the spinal column,
- all the sensory axons pass into the dorsal root ganglion where their cell bodies are located and then on into the spinal cord itself.
- all the motor axons pass into the ventral roots before uniting with the sensory axons to form the mixed nerves.
The spinal cord carries out two main functions:
- It connects a large part of the peripheral nervous system to the brain. Information (nerve impulses) reaching the spinal cord through sensory neurons are transmitted up into the brain. Signals arising in the motor areas of the brain travel back down the cord and leave in the motor neurons.
- The spinal cord also acts as a minor coordinating center responsible for some simple reflexes like the withdrawal reflex.
The interneurons carrying impulses to and from specific receptors and effectors are grouped together in spinal tracts.
Crossing Over of the Spinal Tracts
Impulses reaching the spinal cord from the left side of the body eventually pass over to tracts running up to the right side of the brain and vice versa. In some cases this crossing over occurs as soon as the impulses enter the cord. In other cases, it does not take place until the tracts enter the brain itself.
The brain of all vertebrates develops from three swellings at the anterior end of the neural canal of the embryo. From front to back these develop into the
The brain receives nerve impulses from
- the spinal cord and
- 12 pairs of cranial nerves
- Some of the cranial nerves are "mixed", containing both sensory and motor axons
- Some, e.g., the optic and olfactory nerves (numbers I and II) contain sensory axons only
- Some, e.g. number III that controls eyeball muscles, contain motor axons only.
The main structures of the hindbrain are the
- medulla oblongata
- pons and
- cerebellum
The medulla looks like a swollen tip to the spinal cord. Nerve impulses arising here
- stimulate the intercostal muscles and diaphragm - making breathing possible
- regulate heartbeat
- regulate the diameter of arterioles thus adjusting blood flow.
Destruction of the medulla causes instant death.
The pons seems to serve as a relay station carrying signals from various parts of the cerebral cortex to the cerebellum. Nerve impulses coming from the eyes, ears, and touch receptors are sent on the cerebellum. The pons also participates in the reflexes that regulate breathing.
The cerebellum consists of two deeply-convoluted hemispheres. Its most clearly-understood function is to coordinate body movements. People with damage to their cerebellum are able to perceive the world as before and to contract their muscles, but their motions are jerky and uncoordinated.
The reticular formation is a region running through the middle of the hindbrain (and on into the midbrain). It receives sensory input (e.g., sound) from higher in the brain and passes these back up to the thalamus. The reticular formation is involved in sleep and arousal.
The midbrain occupies only a small region in humans (it is relatively much larger in "lower" vertebrates). We shall look at only three features:
- the reticular formation: collects input from higher brain centers and passes it on to motor neurons.
- the substantia nigra: helps "smooth" out body movements; damage to the substantia nigra causes Parkinson's disease.
- the ventral tegmental area (VTA): packed with dopamine-releasing neurons that synapse deep within the forebrain. The VTA seems to be involved in pleasure; amphetamines and cocaine bind to the same receptors that it activates and this may account - at least in part - for their addictive qualities.
The human forebrain is made up of
- a pair of huge (containing 70% of all the neurons in the brain) cerebral hemispheres, called the telencephalon. Because of crossing over of the spinal tracts, the left hemisphere of the forebrain deals with the right side of the body and vice versa.
- a group of unpaired structures located deep within the cerebrum, called the diencephalon.
We shall consider 4 of its structures: the
- Thalamus.
- All sensory input (except for olfaction) passes through it on the way up to the somatic-sensory regions of the cerebral cortex and then returns to it from there.
- signals from the cerebellum pass through it on the way to the motor areas of the cerebral cortex.
- Lateral geniculate body (LGB). All signals entering the brain from the optic nerves enter the LGB and undergo some processing before moving on the various visual areas of the cerebral cortex.
- Hypothalamus.
- The seat of the autonomic nervous system. Damage to the hypothalamus is quickly fatal as the normal homeostasis of body temperature, blood chemistry, etc. goes out of control.
- The source of 8 hormones, two of which pass into the posterior lobe of the pituitary gland.
- Posterior lobe of the pituitary.
Receives
- antidiuretic hormone (ADH) and
- oxytocin
from the hypothalamus and releases them into the blood.
The Cerebral Hemispheres
The cerebral hemispheres contain at least 70% of the neurons in the human brain.
Each hemisphere of the cerebrum is subdivided into four lobes visible from the outside:
- frontal
- parietal
- occipital
- temporal
Hidden beneath these regions of cerebral cortex are the
- olfactory bulbs; they receive input from the olfactory epithelia.
- striatum; it receives input from the frontal lobes and also from the limbic system. At its base is the nucleus accumbens (NA).
The pleasurable (and addictive) effects of amphetamines, cocaine, and perhaps other psychoactive drugs seem to depend on their producing increasing levels of dopamine at the synapses in the nucleus accumbens.
- limbic system; it receives input from various association areas in the cerebral cortex and passes signals on to the nucleus accumbens.
The limbic system is made up of the:
- hippocampus. It is essential for the formation of long-term memories.
- amygdala
The amygdala appears to be a center of emotions; it receives a rich supply of signals from the olfactory system and this may account for the powerful effect that odor has on emotions (and evoking memories).
Mapping the Functions of the Brain
It is estimated that the human brain contains 100 million (1011) neurons averaging 1000 synapses on each; that is, some 1014 connections. How to unravel the workings of such a complex system?
Several methods have been useful.
Histology
Microscopic examination with the aid of selective stains has revealed many of the physical connections created by axons in the brain.
The Electroencephalograph (EEG)
This device measures electrical activity (brain "waves") that can be detected at the surface of the scalp. It can distinguish between, for example, sleep and excitement. It is also useful in diagnosing brain disorders such as a tendency to epileptic seizures.
Damage to the Brain
Many cases of brain damage from, for example,
- strokes (interruption of blood flow to a part of the brain)
- tumors in the brain
- mechanical damage (e.g., bullet wounds)
have provided important insights into the functions of various parts of the brain.
Example 1:
Battlefield injury to the left temporal lobe of the cerebrum interferes with speech.
Example 2: Phineas P. Gage
In 1848, an accidental explosion drove a metal bar completely through the frontal lobes of Phineas P. Gage. Not only did he survive the accident, he never even lost consciousness or any of the clearly-defined functions of the brain. However, over the ensuing years, he underwent a marked change in personality. Formerly described as a reasonable, sober,conscientious person, he became - in the words of those observing him - "thoughtless, irresponsible, fitful, obstinate, and profane". In short, his personality had changed, but his vision, hearing, other sensations, speech, and body coordination were unimpaired. (Similar personality changes have since been often observed in people with injuries to their prefrontal cortex.)
The photograph (courtesy of the Warren Anatomical Museum, Harvard University Medical School) shows Gage's skull where the bar entered (left) and exited (right) in the accident (which occurred 12 years before he died of natural causes in 1861).
There are no pain receptors on the surface of the brain, and some humans undergoing brain surgery have volunteered to have their exposed brain stimulated with electrodes during surgery. When not under general anesthesia, they can even report their sensations to the experimenter.
Experiments of this sort have revealed a band of cortex running parallel to and just in front of the fissure of Rolando that controls the contraction of skeletal muscles. Stimulation of tiny spots within this motor area causes contraction of the muscles.
The area of motor cortex controlling a body part is not proportional to the size of that part but is proportional to the number of motor neurons running to it. The more motor neurons that activate a structure, the more precisely it can be controlled. Thus the areas of the motor cortex controlling the hands and lips are much larger than those controlling the muscles of the torso and legs.
A similar region is located in a parallel band of cortex just behind the fissure of Rolando. This region is concerned with sensation from the various parts of the body. When spots in this sensory area are stimulated, the patient reports sensations in a specific area of the body. A map can be made based on these reports.
When portions of the occipital lobe are stimulated electrically, the patient reports light. However, this region is also needed for associations to be made with what is seen. Damage to regions in the occipital lobe results in the person's being perfectly able to see objects but incapable of recognizing them.
The centers of hearing - and understanding what is heard - are located in the temporal lobes.
This is an imaging technique that uses a series of x-ray exposures taken from different angles. Thanks to computers, these can be integrated to produce a picture of the brain. CT scanning is routinely used to quickly diagnose strokes.
This imaging technique requires that the subject be injected with a radioisotope that emits positrons.
- water labeled with oxygen-15 (H215O) is used to measure changes in blood flow (which increases in parts of the brain that are active). The short half-life of 15O (2 minutes) makes it safe to use.
- deoxyglucose labeled with fluorine-18. The brain has a voracious appetite for glucose. When supplied with deoxyglucose, the cells are tricked into taking in this related molecule and phosphorylating it in the first step of glycolysis. But no further processing occurs so it accumulates in the cell. By coupling a short-live radioactive isotope like 18F to the deoxyglucose and using a PET scanner, it is possible to visualize active regions of the brain.
These images (courtesy of Michael E. Phelps from Science 211:445, 1981) were produced in a PET scanner. The dark areas are regions of high metabolic activity. Note how the metabolism of the occipital lobes (arrows) increases when visual stimuli are received.
Similarly, sounds increase the rate of deoxyglucose uptake in the speech areas of the temporal lobe.
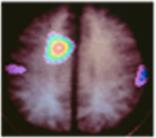
This image (courtesy of Gary H. Duncan from Talbot, J. D., et. al., Science 251: 1355, 1991) shows activation of the cerebral cortex by a hot probe (which the subjects describe as painful) applied to the forearm (which forearm?).
This imaging technique uses powerful magnets to detect magnetic molecules within the body. These can be endogenous molecules or magnetic substances injected into a vein.
fMRI = Functional Magnetic Resonance Imaging
fMRI exploits the magnetic properties of hemoglobin when it is carrying oxygen. Curiously, sudden activation of a part of the brain quickly increases the blood flow to the area but does NOT increase the uptake of oxygen from the hemoglobin in that blood. So the magnetic properties of the region change and can be visualized. This has revealed a number of brain areas involved in mental processes.
4 November 1999